A tooth filling is a procedure to repair decay and restore biting function. The cost of tooth filling is a common question among many patients before booking treatment, particularly when deciding between NHS and private care.
Prices depend on the material used and the location of the tooth. Find a clear breakdown of tooth-filling prices in the UK and see which options fit your budget.
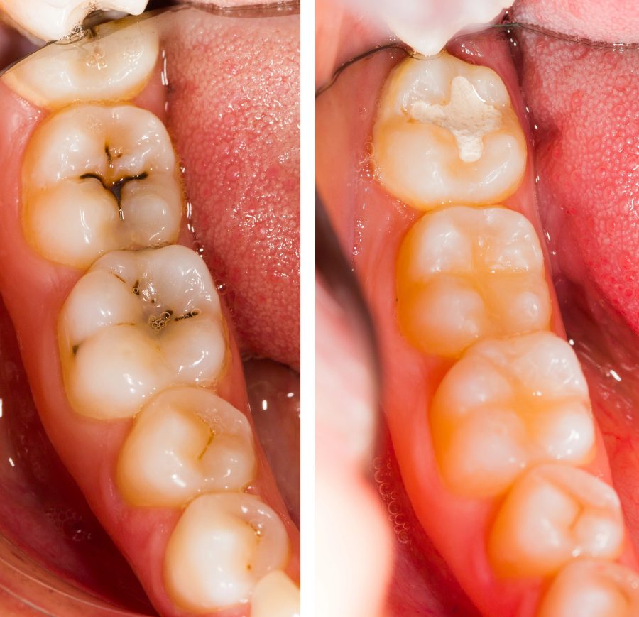
Before and After Results
Average Cost of a Tooth Filling in the UK
The prices of a tooth filling in the UK vary with the place of treatment, either under the NHS or in a private dental clinic. Below is a description of the average expenses you incur in each setting.
| Filling Type | NHS | Private |
|---|---|---|
| Tooth filling white (small) | £73.50 | from £205 |
| Tooth filling silver (small) | £73.50 | from £165 |
| Tooth filling white (large) | £73.50 (front teeth only) | from £329 |
| Tooth filling silver (large) | £73.50 | from £165 |
NHS price range
Tooth fillings fall within Band 2 dental treatment. The current Band 2 charge is fixed at £70. This price applies regardless of the number of teeth treated, as long as they are addressed within one plan.
Private price range
Private tooth fillings are charged per tooth and vary by material and procedure complexity. Prices range from £90 to £600 for a standard filling:
- White composite: £90 to £250.
- Amalgam (silver): £60 to £150.
- Ceramic or porcelain: £300 to £600.
What Affects the Price of a Dental Filling?
The procedure price is not fixed. It varies based on clinical factors and the care setting. We will explain the main aspects below.
Material used
The chosen material greatly influences the final cost. Each option differs in price, durability, and appearance.
Amalgam fillings
This metal-based filling has been used for many years. It is usually placed in the back teeth and remains one of the lowest-priced options in private dentistry.
Composite fillings
Tooth-coloured resin allows the filling to match the enamel. The placement process takes longer, which is why the fee is higher than that for amalgam.
Ceramic/porcelain fillings
These restorations are produced in a laboratory and fitted at a later visit. Extra steps and lab work explain the higher price.
Glass ionomer fillings
This material is often used for small areas or teeth near the gum line. The cost of filling a tooth stays toward the lower end of private pricing.
Gold fillings
A lab-made alloy offers strength and long-term wear resistance. Material value and manufacturing time place this option at the top end of the price range.
Location of the tooth
Back teeth are difficult to access during treatment. Fillings in these teeth take longer to place and may require stronger materials. Front teeth are easier to access but often need careful colour matching.
Size and complexity
Small cavities need less preparation and fewer materials. Larger or deeper areas of decay increase care time. Fillings that cover more than one surface also cost more.
Dentist’s experience and location
Fees vary between practices. Clinics in higher-priced areas may charge more, and dentists with advanced training may set higher private fees due to the level of care provided.
Cost of Filling a Tooth in Different Countries
The cost of a private tooth filling varies across countries due to differences in healthcare systems. Below is how much does the filling of a tooth cost in the USA and Turkey.
Cost in the USA
Dental care in the United States is private and more expensive than in the UK, even for basic procedures. Typical private costs include:
- Amalgam: $100 to $125.
- White composite: $150 to $200.
- Ceramic or porcelain: $600 to $1,000.
| Filling Type | USA Price | UK Price | Turkey Price |
|---|---|---|---|
| Amalgam Filling | $100-$125 | £90-£140 | $30-$80 |
| Composite (White Filling) | $150-$200 | £125-£175 | $60-$100 |
| Gold Filling | $400-$800 | £350-£750 | $250-$600 |
| Porcelain Filling | $600-$1,000 | £500-£1,200 | $200-$600 |
| Glass Ionemer Filling | $150-$300 | £125-£225 | $70-$120 |
Cost in Turkey
Turkey offers more affordable dental prices compared with many Western countries, which attracts patients seeking care abroad. Typical price ranges include:
- Amalgam: £20 to £60.
- White composite: £40 to £70.
- Ceramic or porcelain: £150 to £440.
Ways to Pay for Dental Fillings
The cost of a tooth filling UK does not always need to be paid in one go. Many dental clinics provide flexible options, allowing patients to spread the cost or choose a plan that matches their financial situation.
Using dental insurance
Paying out of pocket
Monthly payment plans
Dental discount memberships
What Happens During a Filling Appointment
During a filling appointment, the dentist removes decay and restores the tooth to function normally. Below are the main stages involved.
Initial examination
A dentist begins with a dental check to confirm the tooth that needs care. An X-ray may be used to evaluate the extent and depth of the cavity. After confirming the diagnosis, we will discuss filling materials and what to expect during therapy.
A local anaesthetic is offered to keep the area comfortable.
Filling is placed
The dentist removes decay and prepares the tooth. The material is then placed into the tooth. Composite fillings are built in layers and bonded to the tooth. The filling is shaped to fit your bite and polished to feel smooth and natural.
Aftercare and maintenance
Mild sensitivity can occur and settle within a few days after the appointment. We advise keeping the area clean with regular brushing and flossing. Regular check-ups allow your dentist to monitor the filling and address any concerns early.
Alternatives to Fillings
A filling is not always the best option when a tooth has wider decay or a weakened structure. A dentist may recommend a different type of restoration that gives better strength and longer-term support.
| Dental Procedures | USA Price | UK Price |
|---|---|---|
| White Filling | $100-$125 | £90-£140 |
| Root Canal Treatment | $600-$1,200 | £400-£700 |
| Dental Crown | $700-$2,000 | £600-£1,000 |
| Dental Veneer | $600-$2,000 | £600-£1,500 |
Inlays and Onlays
These are custom-made restorations used when decay or damage affects a larger area of the tooth. They are made in a laboratory and bonded into place. Inlays and onlays help preserve a natural tooth structure.
Crowns
A crown fully covers the tooth and is recommended when there is significant damage or weakening. It restores strength and function, which is suitable after large restorations or root canal therapy.
Crowns are designed to handle biting pressure and can offer long-term protection.
Popular Treatments in Turkey
from £100 per tooth
from £200 per tooth
from £300 per tooth
from £150 per tooth
Dentatur Accredited: American Accreditation Commission International






Frequently Asked Questions About the Cost of Filling a Tooth
What’s covered in the cost of a private filling?
The fee typically covers the examination, local anaesthetic, removal of decay, placement of the filling, and polishing. X-rays or additional treatments may also be charged if needed and discussed in advance.
Do white fillings cost more than silver ones?
Yes. The average cost of tooth filling for white composite is higher. They take longer to place and require careful layering and bonding. Silver amalgam fillings are quicker to fit and use lower-priced materials.
How long do fillings usually last?
They last several years. Composite fillings often last five to ten years, while amalgam and ceramic options may last longer. Good oral hygiene, balanced bite pressure and regular dental check-ups all influence how long they last.
What if my filling breaks?
Contact the surgery for an appointment if a filling chips or comes loose. Small repairs are often possible. Larger damage may require replacing the filling or considering another restoration, depending on the tooth’s condition.
Does getting fillings hurt?
The procedure is not painful. A dentist can use a local anaesthetic to numb the area. You may feel pressure during the procedure. There can be mild sensitivity afterwards.
Founder of Dentatur Dental Clinic in Turkey, with 25+ years of experience in implantology and aesthetic dentistry. She treats international patients seeking natural, long-lasting smile makeovers using advanced technology.
Our Dental Clinics In Turkey
- Hotel & Transfer
- Book with confidence - Highly Reviewed
- ISO Certified
- Affordable Pricing
- UK Customer Service Team
- 10+ years of experience
Share This Story!
Recommended Posts








